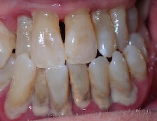
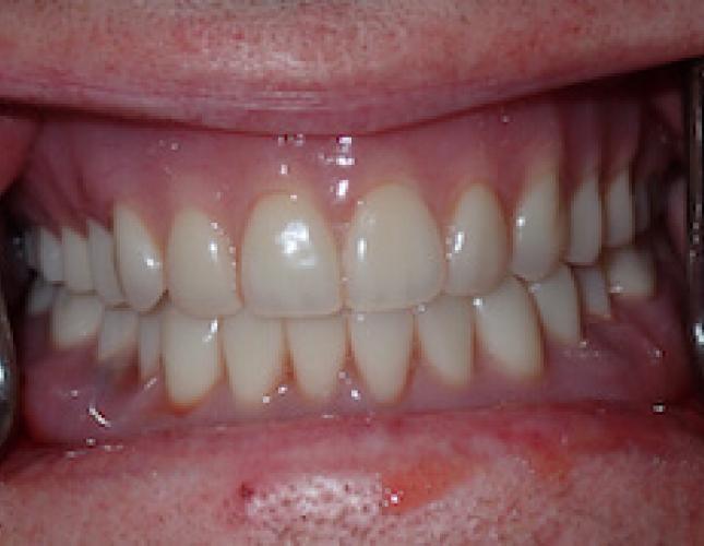
Jim came into Integrity Dental with concerns about the way his teeth looked, how his breath was starting to smell and some pain he was beginning to have while eating. After a consultation with Dr. Thomas and a thorough discussion of all the options, Jim decided to refurbish his mouth. With a set of clipped in dentures and lots of careful planning over the next months, Jim walked out our doors with a new smile. With all of his concerns fixed and addressed, he enjoys showing off his new look while being pain free.

