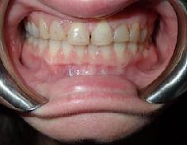
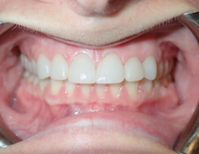
When Stephanie came to our office, she told us that she was not very confident when she smiled. When she looked back at family photos, she noticed that her smile was not as big and she often tried to avoid pictures altogether. After much discussion, Stephanie decided to invest in dental veneers in order to brighten her smile and straighten things out. After one visit, she left with her front six teeth looking completely transformed. When asked if we can use her pictures and story, Stephanie said “Absolutely!" She hopes her story can help others find confidence in their smiles too.

